Cách cài đặt tệp APK / APKS / OBB trên Android

Bạn có thể tải xuống tệp APK ở đây "CT Anatomy" cho zen Admire Unity miễn phí, phiên bản tệp APK - 1.6 để tải xuống trên zen Admire Unity chỉ cần bấm nút này. Việc này hoàn toàn đơn giản và an toàn. Chúng tôi chỉ cung cấp các tệp APK gốc. Nếu thông tin nào trên trang web này vi phạm quyền lợi của bạn, hãy thông báo cho chúng tôi
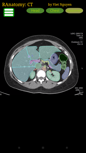
RAnatomy: CT cung cấp một phương pháp năng động và tương tác để xem giải phẫu mặt cắt ngang của con người trên chụp cắt lớp vi tính (CT). Thông tin trong ứng dụng này không thể được đảm bảo về tính đầy đủ và chính xác. Nếu gặp lỗi, vui lòng liên hệ với tôi thông qua trang chủ của tôi.
HƯỚNG DẪN:
Nhấn bằng một ngón tay: Làm nổi bật cấu trúc
Kéo dọc bằng một ngón tay: Cuộn qua hình ảnh CT
Cử chỉ chụm lại : Phóng to
Các phát triển sắp tới:
- Hình ảnh mạch vành và âm đạo
- Các phương thức khác ...
Tuyên bố từ chối trách nhiệm: Thông tin trong ứng dụng này chỉ được cung cấp dưới dạng tài nguyên giáo dục và không được sử dụng hoặc dựa vào cho bất kỳ mục đích chẩn đoán hoặc điều trị nào. Thông tin này không nhằm mục đích giáo dục bệnh nhân và không được sử dụng để thay thế cho việc chẩn đoán và điều trị chuyên nghiệp. RAnatomy từ chối trách nhiệm một cách rõ ràng và sẽ không có trách nhiệm pháp lý đối với bất kỳ thiệt hại, mất mát, thương tật hoặc trách nhiệm nào mà bất kỳ ai phải gánh chịu do sự phụ thuộc của bạn vào thông tin có trong ứng dụng này. Bằng cách sử dụng ứng dụng này, bạn đồng ý với các điều khoản và điều kiện nêu trên, đôi khi có thể được thay đổi hoặc bổ sung.
